· обострения — ткань убывает стремительно
· стабилизации — динамика патологических изменений замедляется, на протяжении 9–10 месяцев расширение углубления практически незаметно.
Выделяют несколько факторов, вызывающих клиновидное повреждение зубов.
Теории возникновения клиновидных дефектов:
- Механическая абразия. Патология развивается вследствие влияния на ткани зуба абразивных материалов. К таким агрессивным факторам в первую очередь нужно отнести пасты с высоким коэффициентом абразивности (отбеливающие). Не меньше вреда приносят зубные щётки с очень жёсткой щетиной и неправильная техника очищения зубов.
- Химическая эрозия. В этом случае причиной болезни выступают химические агенты — кислоты, содержащиеся в большом количестве в некоторых пищевых продуктах, вине, соках и фруктах, сладкой газировке. Химическая эрозия как причина патологии выступает у людей с повышенной кислотностью, изжогой и гастроэзофагеальным рефлюксом (забросом кислого желудочного содержимого в ротовую полость). Страдать от болезни могут также работники, задействованные в химической промышленности.
- Абфракция или повреждение в результате неправильной, избыточной нагрузки на зубы. В данном случае речь идёт о патологическом взаимодействии между противостоящими зубами во время их смыкания, что приводит к возникновению атипичной нагрузки на них. Такие процессы происходят при неправильном прикусе. Не менее значимым фактором появления дефектов абфракционного типа является бруксизм — явление, обусловленное избыточным тонусом жевательной мускулатуры. При этом у человека происходит сильное длительное смыкание челюстей и скрежетание зубами. Повышенная нагрузка на жевательные поверхности зубов приводит к деструкции эмали в самом слабом месте — пришеечной области. Парафункция языка, то есть избыточное давление им на зубы с внутренней стороны — ещё одна причина абфракции. Такое явление бывает при малом объёме полости рта, например, при анатомических аномалиях — глубоком прикусе или суженых челюстях. Отсутствие некоторых зубов в ряду также играет роль в создании неправильной нагрузки на зубы, которые вынуждены брать на себя двойную работу.
- Помимо этого, предрасполагающие факторы к развитию патологии — это недостаточный гигиенический уход за зубами, наличие твёрдых и мягких отложений на них.
Применение высокотехнологичного оборудования микроскопа позволяет существенно улучшить визуализацию с помощью многократного увеличения. Тем самым улучшается эффективность и качество лечения, восстановления коронковой части зуба при кариозных и некариозных поражениях.
Лечение паталогии «Клиновидный дефект»
Терапия должна быть комплексной, в ней могут принимать участие ортодонты, терапевты, ортопеды. Если не устранить основную причину, вызвавшую деструкцию эмали, например, не учитывать нарушение окклюзии при неправильном прикусе, а просто запломбировать дефект, то лечение успешным не будет — пломба просто выпадет, а выемка продолжит углубляться.Абфракционный тип заболевания лечит стоматолог-ортопед. Врач может провести избирательное пришлифовывание зубов для нормализации контактов между ними. Иногда применяют установку искусственных коронок на отдельные зубы или брекет-систем. Процесс такого ортодонтического или ортопедического лечения небыстрый, однако усилия и временные затраты себя оправдывают. После устранения патологии окклюзии можно приступать к стоматологической терапии.
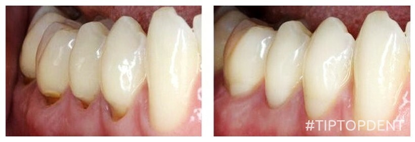
Пломбирование дефектов
Средние и выраженные повреждения нуждаются в пломбировании. Стоит сказать, что восстановление целостности зубов с помощью постановки пломб далеко не всегда эффективно. Если не устранить причину возникновения дефекта, а только поставить пломбу (что часто и происходит), она быстро теряет эстетичность на границах прилегания к ткани зуба из-за образования микротрещин и проникновения в них красителей и нередко держится не дольше года. Оптимальным является использование жидкотекучих композитов, обладающих высокой эластичностью, которая позволяет частично компенсировать нарушение окклюзионной нагрузки. Для того чтобы пломба держалась дольше, перед её постановкой проводится препарирование твёрдой ткани зуба. Так же дефект расширяется за счёт иссечения неизменённой эмали по периферии до 2–5 мм в зависимости от выраженности деструктивного процесса.
После пломбирования пациенту не рекомендуется употреблять красящие напитки и продукты в течение суток. Во время процедуры особое внимание уделяется изоляции пломбировочных материалов от слюны, при попадании влаги на подготовленную поверхность зуба срок службы пломбы может значительно снизиться.
Современным методом пломбирования клиновидных дефектов является «сэндвич-техника», при которой повреждённый участок пломбируется двумя разными материалами — плотным и эластичным. Такая техника позволяет сделать пломбу более качественной и не допустить её преждевременного выпадения.

После пломбирования дефектов 3–4 степени стоматолог может посоветовать установку виниров — керамических пластинок, закрывающих переднюю и жевательную поверхности зубов. Метод обладает высокой эстетичностью. Помимо этого, виниры могут служить профилактикой дальнейшего прогрессирования заболевания, так как при жевании основная нагрузка приходится на них.